肘关节恐怖三联征还有骨化
恐怖三联征吧
全部回复
仅看楼主
level 1
纯属偷笑
楼主
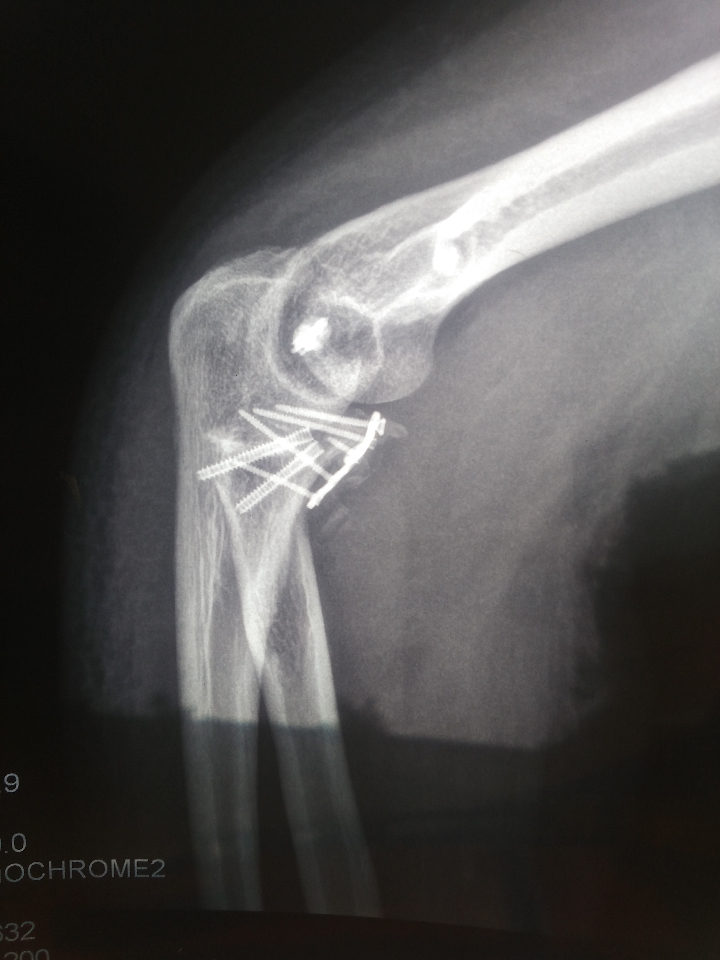
手术后52天了,医生说要使劲锻炼伸直弯曲和旋转,但康复科的医生说又不能太用力锻炼,以免加重骨化。现在被动伸直几乎能到0度不过很痛,弯曲被动能到90-100吧,旋转很差,现在很担心手以后会废掉我才28啊,不能干活以后怎么养家糊口啊,心里很纠结不知道说用力锻炼好还是不用力锻炼好!!请吧友们指点指点!
2018年06月29日 06点06分
1
level 1
纯属偷笑
楼主
请大家给点指点意见!!!
2018年06月29日 07点06分
2
level 9
月亮仙子💫
需要术后及时找一个骨科康复医师,给训练做康复训练,伸直 弯曲 旋转,方法很重要
2018年06月30日 14点06分
3
纯属偷笑
康复训练贵吗?家里面经济条件不好
2018年07月01日 06点07分
level 9
月亮仙子💫
方法不对,会没有效果反而加重骨化。前三个月是黄金训练期,不要错过,拆掉钢架后,训练康复一年
2018年06月30日 14点06分
4
纯属偷笑
手术后快两个月了,现在旋转、伸直、弯曲恢复的不理想,好担心以后这手废掉
2018年07月01日 06点07分
贴吧用户_5MNZMDt
康复期一年呢.只要每天训练
2019年01月22日 15点01分
迎春ab
现在完全康复了吗能加个微信问问吗
2020年04月02日 13点04分
月亮仙子💫
康复了 17803323432
2020年05月22日 12点05分
level 9
月亮仙子💫
虽然康复之路很漫长,艰辛,但只要方法正确,坚持康复锻炼,还是基本能达到正常手臂的伸曲条件的。加油吧
2018年06月30日 14点06分
5
纯属偷笑
医生(是主治医生,不是康复医生)给的方法就是忍受痛苦使劲掰、锻炼
2018年07月01日 06点07分
完颜骨骨达
@纯属偷笑
没到半年以后,不能使劲掰。找康复治疗师,按正常解刨位,把肌肉缕顺,然后拉伸,揉肱二头肌,肱三头肌,肱桡肌和肩部肌肉。慢慢能伸直后,再一段时间屈就差不多了。伸和屈是互斥的
2019年12月27日 09点12分
level 9
月亮仙子💫
方法不对,减少暴力伸直弯曲,循序渐进,每天两次训练,不拆钢架几分钟,拆掉钢架20分钟,中间要休息
2018年07月05日 23点07分
7
纯属偷笑
现在弯曲伸直都有进展,就旋转进展很差
2018年07月15日 02点07分
月亮仙子💫
训练半年定型,一年基本终止。坚持吧,
2018年07月18日 02点07分
贴吧用户_7U4CtW9
你是怎么锻炼的,我活动度只有20,可以分享给我吗?谢谢了
2020年04月07日 13点04分
level 1
峰峰hoho
加个微信,我跟你差不多,现在也有骨化征兆,讨论一下
2018年07月16日 09点07分
8
纯属偷笑
你的微信多少
2018年07月25日 09点07分
level 3
啊明大叔1
也就想问下,钢板能不能取,我的2年了,医生当初就说钢板永留了
2018年07月28日 13点07分
9
纯属偷笑
我的钉子和钢板医生也说不取,你的伸直和弯曲和旋转怎么样啊?
2018年07月31日 13点07分
啊明大叔1
我恢复的很好,百分之95,出院半个月就都恢复了
2018年08月04日 08点08分
一克拉的皇冠
我的也恢复好了。也是说不取内固定,不知道行不行
2020年07月26日 05点07分
纯属偷笑
@一克拉的皇冠
内固定在关节里不好取,周围神经多,血管多,取了怕骨头再散掉
2020年11月16日 12点11分
level 3
啊明大叔1
2018年08月04日 08点08分
10
纯属偷笑
你里面的骨折碎的厉害吗
2018年08月16日 06点08分
level 10
YY的二次元👀
医生给我开了吲哚美辛肠溶片,说能预防骨化,不知道有没有用
2019年04月09日 13点04分
11
纯属偷笑
肯定有用,我吃了那个药好久好久
2020年09月11日 16点09分
level 3
无名及有名20
加个微信吧,我这也恢复的不好
2019年10月10日 07点10分
13
纯属偷笑
你恢复的怎么样了?
2020年09月11日 16点09分
无名及有名20
@纯属偷笑
想做松解
2020年09月11日 16点09分
纯属偷笑
你弯曲和旋转能到什么层度嘛,医生怎么说?
2020年09月11日 16点09分
无名及有名20
@纯属偷笑
旋转直接没有,你呢
2020年09月13日 23点09分
level 6
贴吧用户_QUN9J9K
楼主康复了么?
2020年06月17日 09点06分
14
纯属偷笑
恢复的还行吧,就是旋转不是很好
2020年09月11日 16点09分
level 1
贴吧用户_741JCVP
我也是恐怖三联征,手术后8个月。伸不直,弯不到底,旋转不行,而且很疼,还有骨位异化。医生叫锻炼,但不能用力。可能会像周总理那样关节僵死。怎么办?
2020年07月21日 01点07分
15
☞加油加油1
实在不行,考虑松解
2020年07月24日 23点07分
贴吧用户_QUN9J9K
哎松懈后还要锻炼,太伤身体了
2020年07月29日 16点07分
贴吧用户_QUN9J9K
哎!锻炼不出来了
2020年08月27日 13点08分
纯属偷笑
好好锻炼吧,18年5月我也是恐怖三联征+异位骨化+旋转不行,做完手术两个多月自己做康复没效果,接着去做医院做康复训练,目前手的弯曲还好,就是旋转太好,手伸直再旋转也有疼痛感
2020年09月11日 15点09分
level 3
啊明大叔1
4年了,在想要不要去取钢钉,所有功能正常,和没断前差不多,就是有钢钉在里面总是不好的
2020年09月26日 12点09分
16
贴吧用户_QUN9J9K
只要功能好取不取无所谓了
2020年10月31日 17点10分
纯属偷笑
和没断差不多恢复的那么好啊,你确定你是恐怖三联征?
2020年11月16日 12点11分
啊明大叔1
肯定的啊,当地的医院都回绝我了,最后朋友让我去杭州试试才看好的
2020年12月19日 21点12分
level 5
肥硕de小青蛙
哥们好了吗
2020年12月22日 13点12分
17
纯属偷笑
好是好了,旋转的度数有点差,活动的时候关节有响动
2021年02月24日 07点02分
1
2
尾页