懂得吧友帮忙看看,这个有多严重?
股骨颈骨折聚心吧
全部回复
仅看楼主
level 2
落云沥泉
楼主
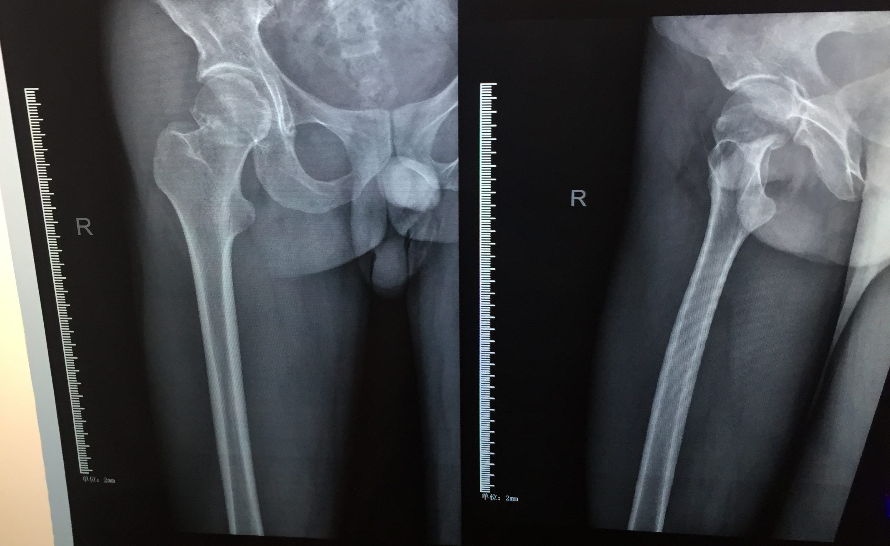
这是我家人的X光和CT照片,目前在住院,下周一手术。请懂得吧友帮忙看看,这个是头下型吗?有多严重?
2018年03月02日 13点03分
1
level 11
快快恢复🍀🍀
头下,有些移位!准备打好持久战
2018年03月02日 13点03分
2
落云沥泉
是头下几型?很严重吗?谢谢!
2018年03月02日 13点03分
快快恢复🍀🍀
回复 落云沥泉 :还好,移位不大!还好啦,看手术复位!
2018年03月02日 14点03分
level 7
何建涛9
头下嵌插,应该属于一型,嵌插属于稳定型骨折,算是轻的。
2018年03月02日 14点03分
3
落云沥泉
谢谢你哦,你们都在哪里学的相关知识?
2018年03月02日 14点03分
陈家豪😘℃
@落云沥泉
天天来吧里看看就懂
2018年03月03日 03点03分
level 1
时光折磨我
不严重,算轻的,没有我的严重
2018年03月02日 14点03分
4
落云沥泉
感谢解答,祝你早日康复。
2018年03月02日 14点03分
level 11
拧猛鸭
头下三 ,挺严重,好好躺着修养吧
2018年03月02日 14点03分
5
落云沥泉
好担心。
2018年03月02日 15点03分
拧猛鸭
@落云沥泉
别太担心,不要太早负重多锻炼
2018年03月02日 15点03分
落云沥泉
回复 气数已尽🌚 :好的,只能希望我哥有个好心态了。
2018年03月02日 15点03分
拧猛鸭
@落云沥泉
你哥几岁了?怎么摔的?
2018年03月02日 15点03分
level 9
狼啸山林992
嵌插型 最多头二 属于稳定型股骨颈骨折 不要过于担心
2018年03月02日 15点03分
6
落云沥泉
好的,感谢解答。
2018年03月02日 15点03分
level 6
HN馃悷缂
各位,怎么看得出是头下还是头上,什么几型几型的啊
2018年03月03日 03点03分
7
1