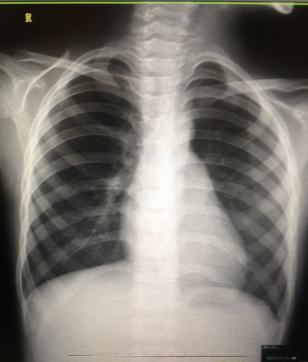
7岁小孩,咳嗽3天,看看左中下肺及肺A段
e诊断吧
全部回复
仅看楼主
level 7
cbwxt120306 楼主
有什么问题吗?
2016年11月30日 02点11分 1
1