level 8
cbwxt120306
楼主
全身类pet肿瘤筛查:
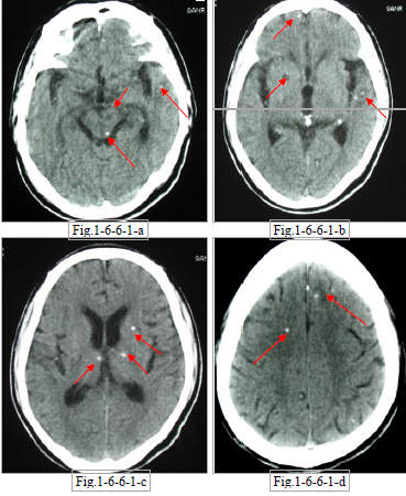
由猪肉绦虫的幼虫(囊尾蚴)寄生在人脑内而引起的病变,常发生在大脑皮质运动区,因癫痫反复发作就诊。也可寄生在小脑、脑室及其他脑组织。后期可发生钙化。
【病例】
患者男性,59 岁。主诉:间断右上肢抽搐 14 年。 CT 平扫(Fig.1-6-6-1-a~d)示:脑囊虫病,大部钙化;并有脑萎缩及右豆状核、脑干腔梗。



2016年08月26日 03点08分
1
由猪肉绦虫的幼虫(囊尾蚴)寄生在人脑内而引起的病变,常发生在大脑皮质运动区,因癫痫反复发作就诊。也可寄生在小脑、脑室及其他脑组织。后期可发生钙化。
【病例】
患者男性,59 岁。主诉:间断右上肢抽搐 14 年。 CT 平扫(Fig.1-6-6-1-a~d)示:脑囊虫病,大部钙化;并有脑萎缩及右豆状核、脑干腔梗。


