level 7
cbwxt120306
楼主
全身类pet肿瘤筛查:
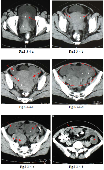
4.患者女性,49 岁。主诉:发现盆腔肿物1 周。妇科内诊:子宫附件可扪及儿头大小包块,活 动差。B 型超声:双附件实性及囊实性包块。CT 盆腔平扫(Fig.8-3-4-a~f)示:双侧卵巢囊实性恶性肿 瘤,与子宫界限不清,膀胱受压,肠间隙周围大量腹水。术后病理:双卵巢及右输卵管低分化癌,分别为腺癌,移行细胞癌,肉瘤样癌及黏液腺癌结构,直肠周围淋巴结 4/5 转移,右髂内外淋巴结 4/6 转移,左髂内外闭孔淋巴结3/5 转移。

2016年08月25日 07点08分
1
4.患者女性,49 岁。主诉:发现盆腔肿物1 周。妇科内诊:子宫附件可扪及儿头大小包块,活 动差。B 型超声:双附件实性及囊实性包块。CT 盆腔平扫(Fig.8-3-4-a~f)示:双侧卵巢囊实性恶性肿 瘤,与子宫界限不清,膀胱受压,肠间隙周围大量腹水。术后病理:双卵巢及右输卵管低分化癌,分别为腺癌,移行细胞癌,肉瘤样癌及黏液腺癌结构,直肠周围淋巴结 4/5 转移,右髂内外淋巴结 4/6 转移,左髂内外闭孔淋巴结3/5 转移。
