急 求各位老师给我点意见
医学吧
全部回复
仅看楼主
level 1
知恩幸福
楼主
2015年10月19日 11点10分
1
level 1
知恩幸福
楼主
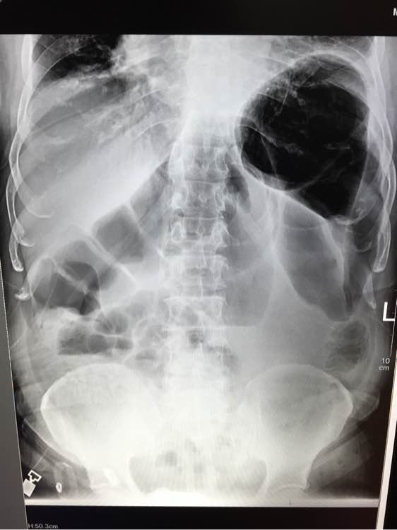
腹痛1天 从x片可以看出什么问题啊
2015年10月19日 11点10分
2
level 7
pam🌱
不是有报告吗?
2015年10月19日 12点10分
3
1