求助帖 求帮忙分析下这个ct
ct吧
全部回复
仅看楼主
level 1
他说名字长霸气
楼主
2015年04月14日 14点04分
1
level 1
他说名字长霸气
楼主
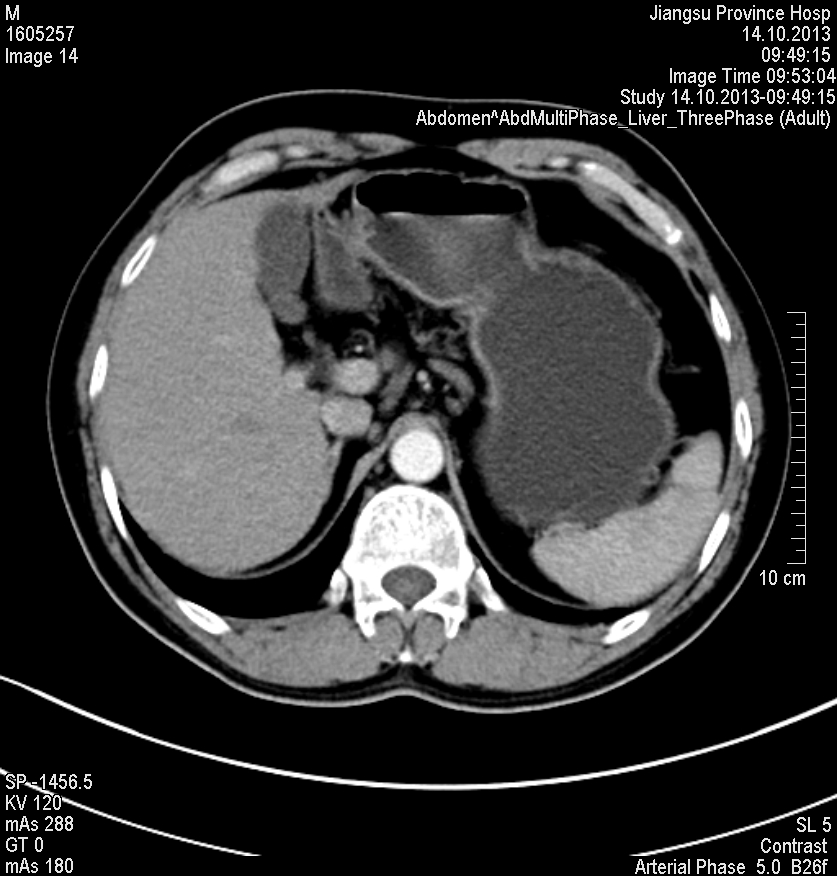
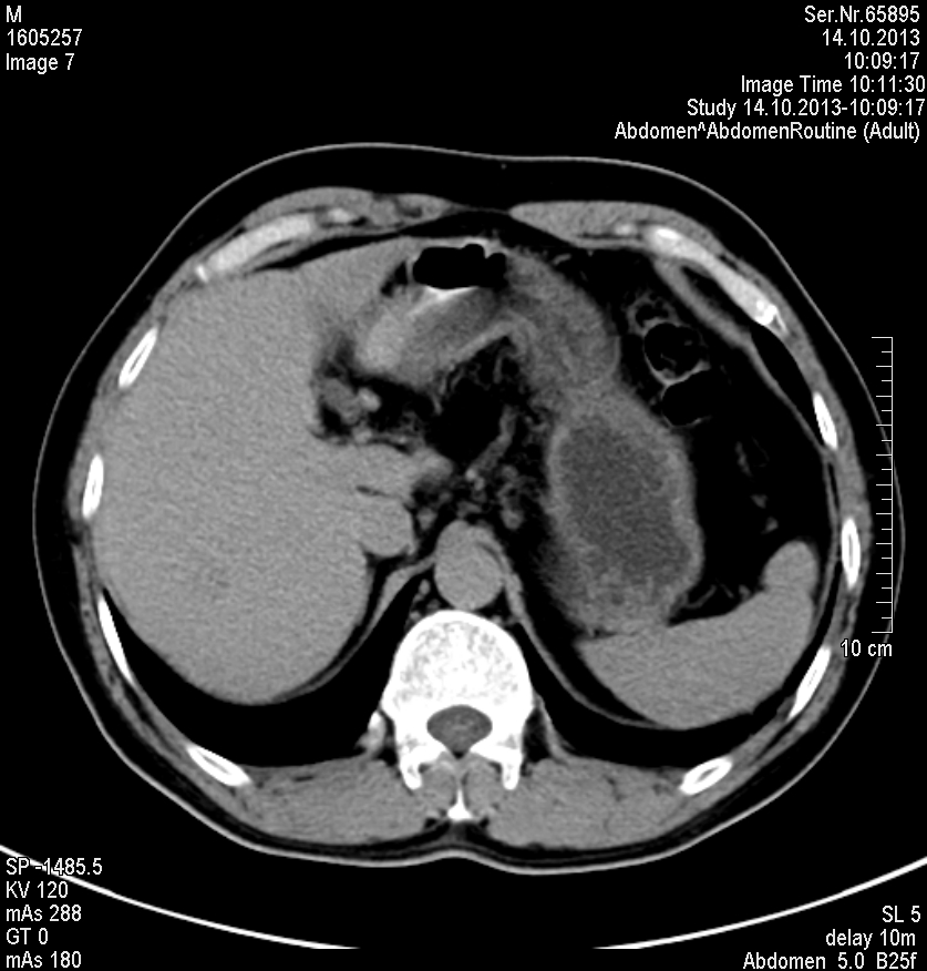
1,影像表现 2,诊断 3,鉴别诊断
大概就做这样的分析吧 急需 在线等!
2015年04月14日 14点04分
2
level 2
q695574925
这是头部?
2015年04月16日 07点04分
3
恶人行善莫惊奇
你是学啥专业的,这么能闹
2015年04月19日 05点04分
付泽方
那是胸
2015年08月20日 16点08分
level 10
恶人行善莫惊奇
这是磁共振和ct都有吧
2015年04月19日 05点04分
4
level 1
luo5203468
这是核磁
2015年05月02日 00点05分
5
level 11
沉♤默♋
考虑肝血管瘤比较多吧!
2015年07月09日 09点07分
6
level 1
竟是扯淡啊
这是核磁
2015年07月30日 16点07分
7
level 11
aa904882620aa
肿瘤
2015年07月30日 16点07分
8
level 8
波仔cq
水成像高信号,同反相位均呈低信号,动脉早期轻度强化,其余时期强化不明显
2015年08月21日 15点08分
9
level 2
dd唐俊程
肝脏右叶内有一明显圆形肿块,增强CT肝实质期不强化,MRI水成像高信号,其他呈低信号,动脉早期轻度强化。
2016年01月08日 16点01分
10
level 2
你的小帅帅👻
右厕肝肾炎。0.2g/6.0g%0.01門个
2016年01月16日 01点01分
11
level 1
zslinle2
感觉像小肝癌,强化方式快进快出
2016年01月16日 15点01分
13
level 1
ww好饿
这是MR靴靴
2016年01月27日 06点01分
14
level 11
沉♤默♋
血管瘤多考虑
2016年02月17日 09点02分
15
1